
В некоторых случаях патологоанатом использует гистохимические методы (специальные окраски).
В основе этих методов лежат простые химические реакции, которые позволяют обнаружить определенные вещества в ткани. И на основании этого ставится диагноз.
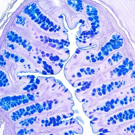
Например, окраска альциановым синим позволяет обнаружить в ткани слизь. Красный конго указывает на наличие амилоидоза.
Гистохимические окраски просты в применении и относительно недорогие.
ПОКАЗАНИЯ ДЛЯ ПРОВЕДЕНИЯ ИССЛЕДОВАНИЯ
Данный метод исследования ткани применяется в для первичной диагностики новообразований и раннего выявления заболеваний.
ГИСТОХИМИЧЕСКИЕ ИССЛЕДОВАНИЯ В РКМЦ
Лечащий врач в процессе обследования или операции производит забор ткани на исследование. Материал передается в лабораторию, где осуществляется его исследование гистохимическим методом.
ПОДГОТОВКА
Не требуется



